День Победы, 9 мая, был, есть и будет главным Праздником нашей страны и всего здравомыслящего человечества. Самая кровопролитная за всю историю война закончилась полным разгромом фашистской армии. Речь не только о Германии — с нами воевала, практически, вся «цивилизованная» Европа, экономически более благополучная и в военном отношении значительно превосходящая Красную армию.
Учащиеся школ городского округа Красногорск передали в Центральный военный клинический госпиталь имени А.А. Вишневского письма для выздоравливающих участников спецоперации на Украине.
Два десятилетия назад в 3 ЦВКГ имени А.А. Вишневского Министерства обороны РФ образован кардиохирургический центр. За 20 лет он превратился в своего рода визитную карточку госпиталя и занимает лидирующее положение в системе оказания современной, высокотехнологичной медицинской помощи не только в вооружённых силах, но и в целом в стране. Об истории создания, развития и сегодняшнем дне кардиохирургического центра рассказывает его начальник, заслуженный врач РФ, доктор медицинских наук, профессор, полковник медицинской службы Александр Лищук.
В канун празднования Светлого Христова Воскресенья — Святой Пасхи в холле главного корпуса Центрального военного клинического госпиталя имени А. А. Вишневского Минобороны России открылась выставка-исследование «История празднования Пасхи в военное время в России».
Популярная певица, актриса и композитор Вика Цыганова побывала в госпитале имени А.А. Вишневского, чтобы поддержать и согреть своими песнями выздоравливающих участников спецоперации на Украине, передать приветы и поклоны от простых людей, которые молятся за их здоровье. А ещё она привезла ребятам большую коробку ароматных домашних пирожков, которые с раннего утра пекли для них её мама и подруга.
Председатель Совета Федерации Федерального собрания РФ Валентина Матвиенко посетила 3-й Центральный военный клинический госпиталь имени А.А. Вишневского, где вручила 11 военнослужащим государственную награду – медаль «За отвагу». Ещё шесть военнослужащих получили медали из рук Героя России, председателя комитета Совета Федерации Федерального собрания РФ по обороне и безопасности Виктора Бондарева.
Творческие встречи с военнослужащими, получившими ранения в ходе спецоперации, прошли в Центральном военном клиническом госпитале имени А. А. Вишневского. Перед выздоравливающими пациентами выступили Владимир Винокур, Дмитрий Певцов, Александр Маршал. Мероприятия организованы в рамках социально-культурной акции «Лучшим воинам Мира».
Заместитель министра обороны Российской Федерации генерал-полковник Юнус-Бек Евкуров вручил государственные награды военнослужащим, отличившимся в ходе проведения специальной военной операции на Украине. Согласно указу президента РФ, высоких наград были удостоены 18 военнослужащих.
Уникальную операцию по извлечению трёхсантиметрового осколка из груди тяжелораненого военнослужащего провели кардиохирурги госпиталя имени А. А. Вишневского.
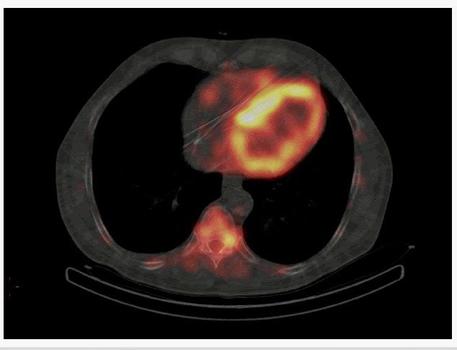
В госпитале имени А. А. Вишневского внедрили в широкую практику новый вид диагностики амилоидоза сердца — сцинтиграфию. Это высокочувствительный неинвазивный метод диагностики заболевания, который ранее делали только военнослужащим.
В Красногорске бригада нейрохирургов 3 ЦВКГ имени А. А. Вишневского и НМИЦ нейрохирургии имени академика Н. Н. Бурденко избавила женщину от гигантской аденомы гипофиза — доброкачественного и труднодоступного анатомического образования, влияющего на взаимодействие эндокринной и нервной систем организма человека. Врачи применили уникальную методику хирургического вмешательства — трансназальное эндоскопическое удаление опухоли.
В госпитале имени А. А. Вишневского нескольким военнослужащим вручили государственные награды за самоотверженность и мужество, проявленные при проведении специальной военной операции по защите Донецкой и Луганской народных республик.
Дорогие, милые женщины, примите самые искренние поздравления с чудесным весенним праздником – Международным женским днём 8 Марта!
Сегодня речь не о красивых хирургических швах, а о мастерстве рукодельниц, работающих в госпитале имени А.А. Вишневского. В холле главного корпуса 3 ЦВКГ открылась выставка вышивки, посвящённая Международному женскому дню 8 Марта.
В эфире Первого телеканала 27 февраля в программе «Здоровье», посвящённой военным врачам, вышел сюжет о гибридной операции в кардиохирургическом центре 3 ЦВКГ им. А.А. Вишневского. Пациенту было выполнено протезирование аортального клапана, баллонная ангиопластика и стентирование коронарных артерий. Операция прошла под руководством начальника кардиохирургического центра госпиталя заслуженного врача РФ, доктора медицинских наук, профессора Александра Лищука. Кардиохирургов в работе, конечно же, сняли накануне выпуска передачи, а вот телемост между участниками программы в студии и врачами с выздоравливающим пациентом был устроен в прямом эфире.